Smile Renewal
All Services
Dental Services in Seoul
Exam & cleaning
composite resin
Inlay & onlay
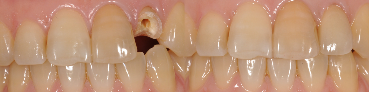
Crown & bridge
Root canal treatment
Implant
An implant is a screw-like artificial tooth that is placed in the jawbone where a tooth is missing, providing a function similar to that of a natural tooth. Before placing an implant, if there is insufficient bone, additional procedures such as bone grafting may be necessary to ensure proper osseointegration.
Veneer
Teeth whitening
Teeth whitening involves using safe whitening agents like hydrogen peroxide, administered at a dental office, to whiten discolored teeth. This treatment does more than just change the color; it restores the teeth to their original color by removing stains and discoloration. There are two types of whitening: at-home whitening kits and professional, in-office whitening treatments, like those offered at UPenn Barun Dental. For maximum effectiveness, it is recommended to use both methods in combination.
Dentures
Tooth extraction
Deep cleaning
BRUXISM
CASE
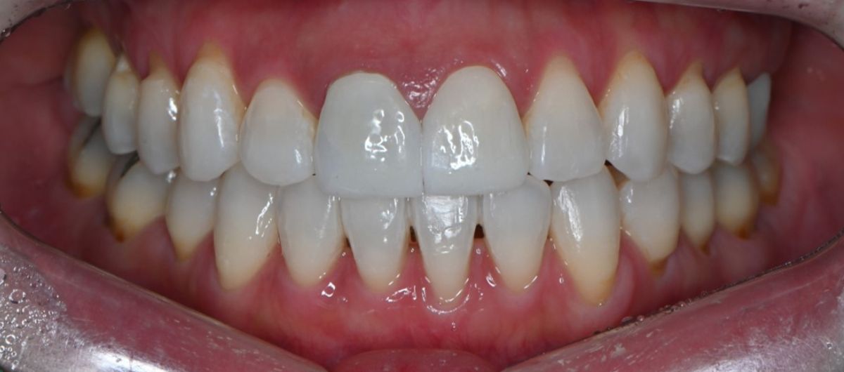
Laminate Veneers

Laminate Veneers

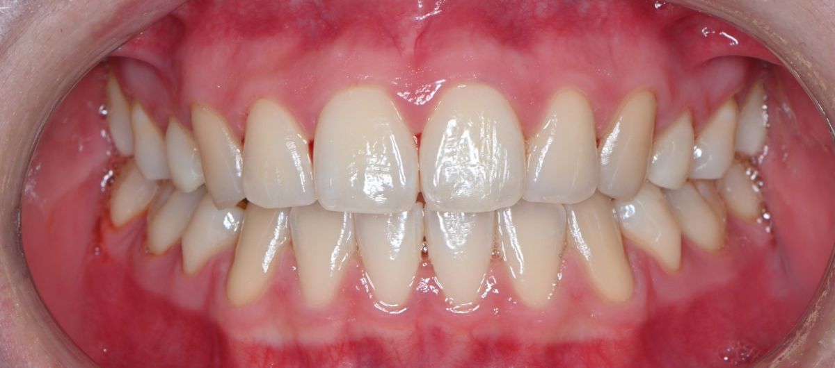
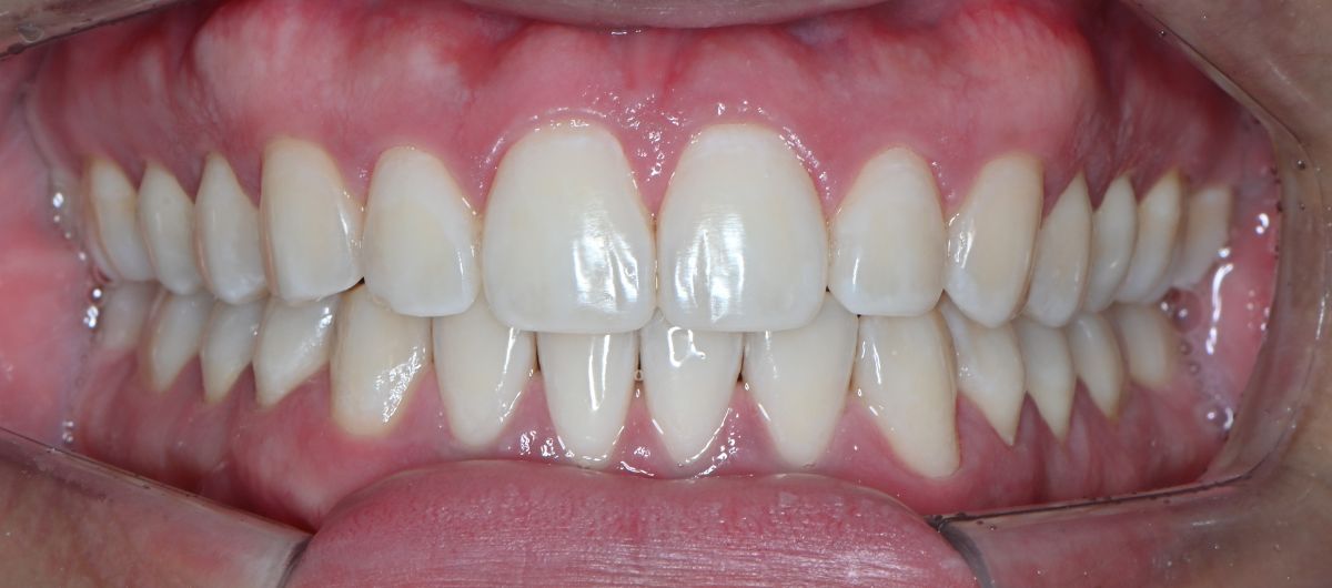
Teeth Whitening

At-home and In-office Teeth Whitening
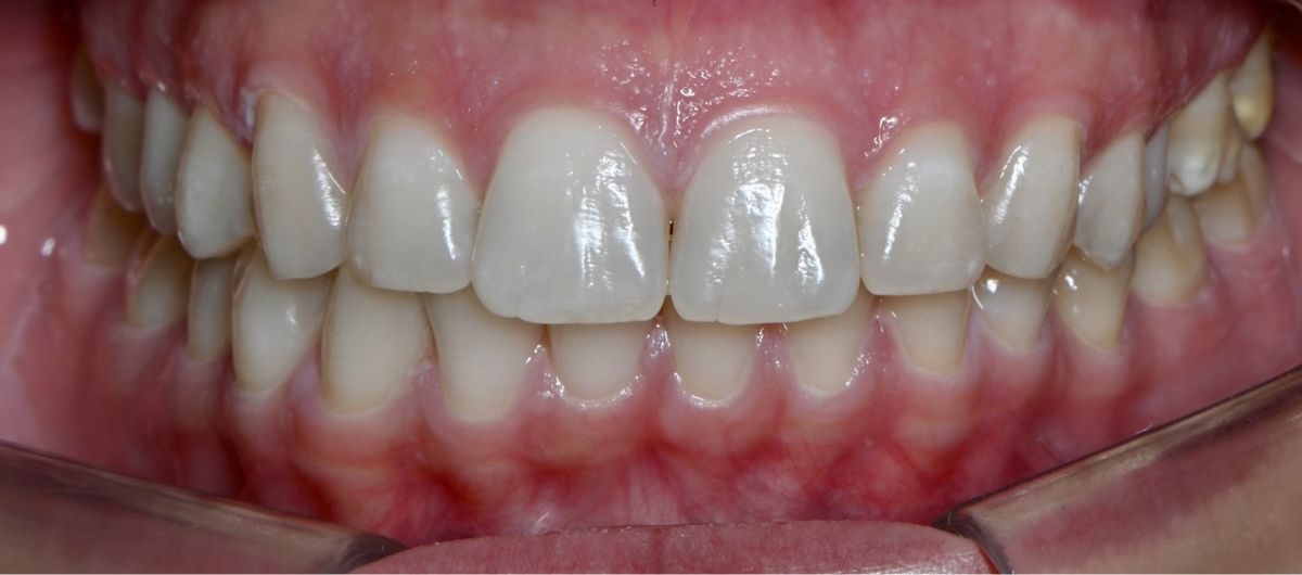
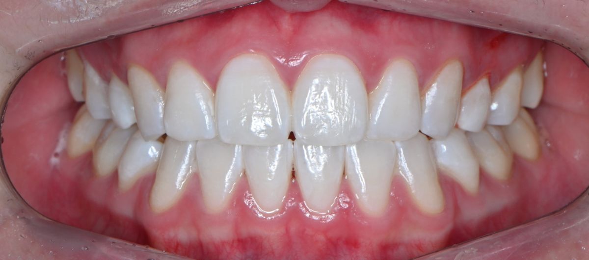
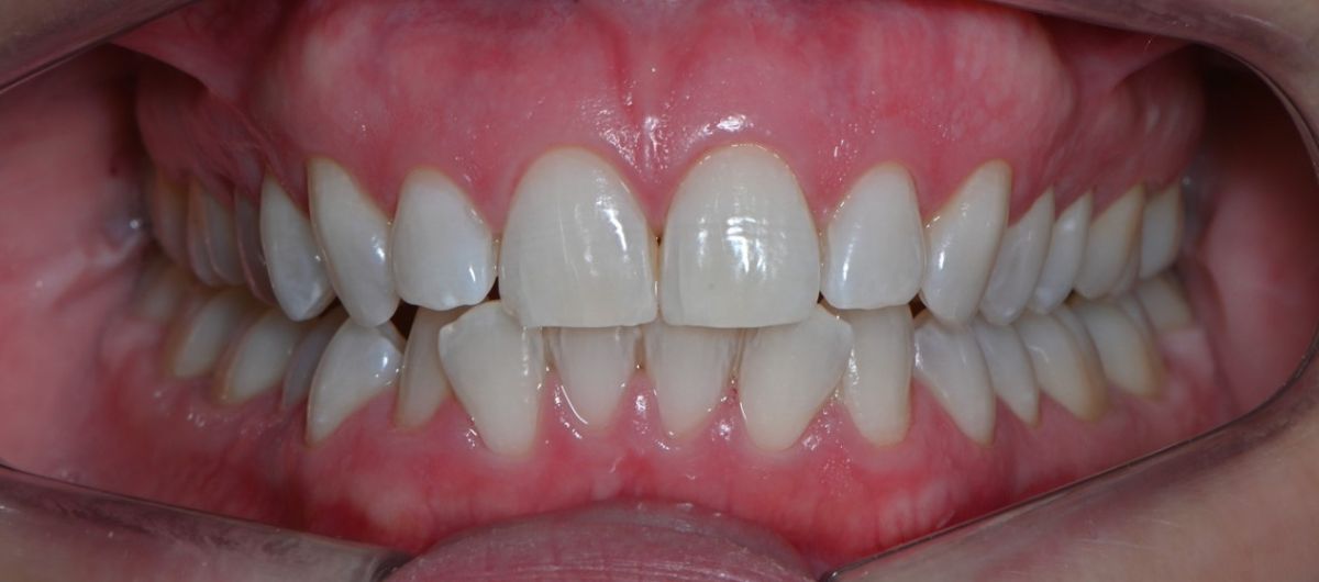
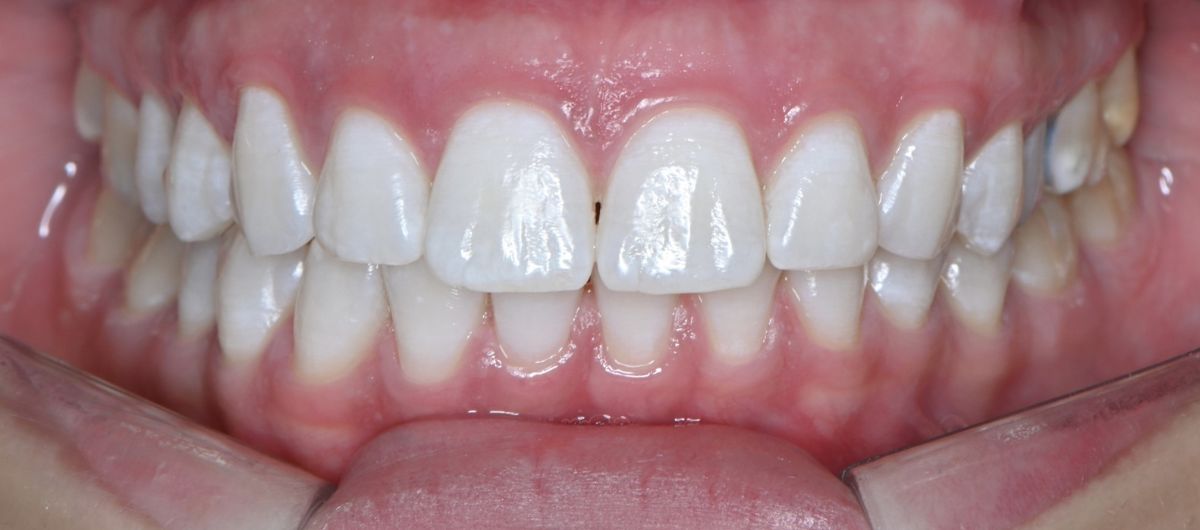
Teeth Whitening

In-office Teeth Whitening
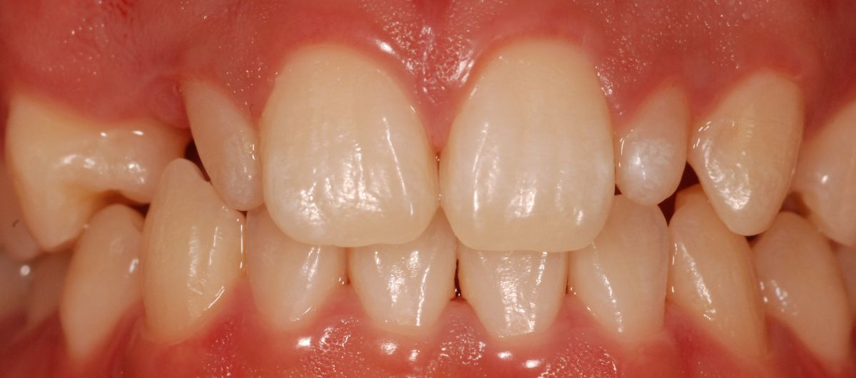
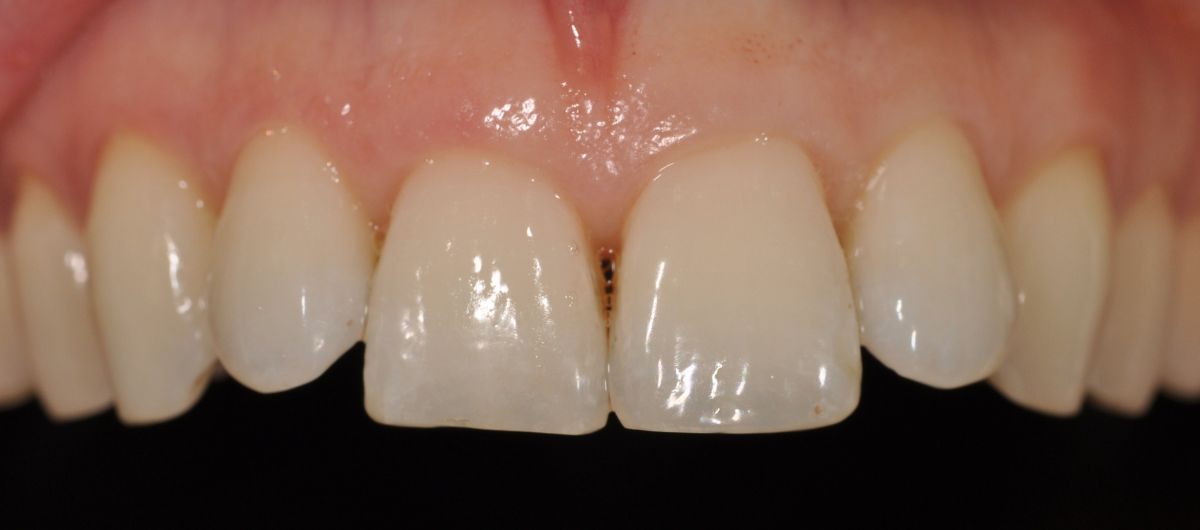
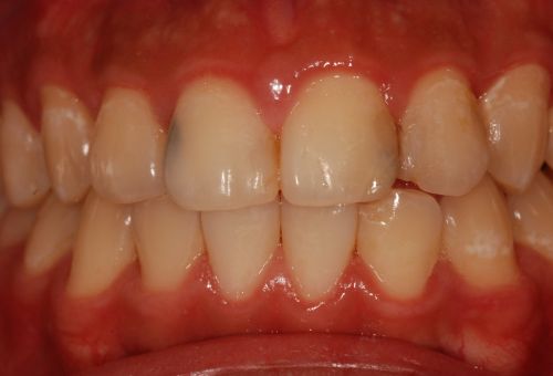
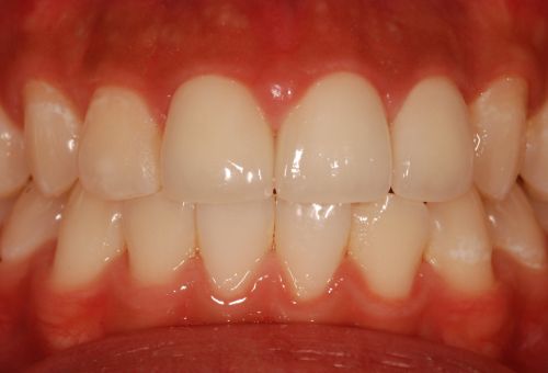
Teeth Whitening

At-home and In-office Teeth Whitening
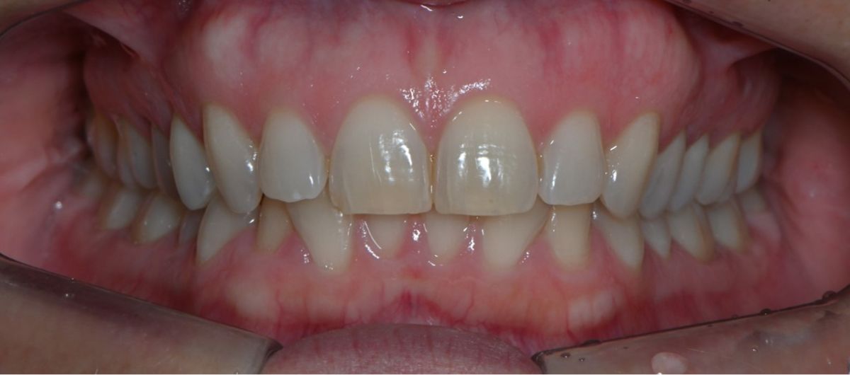
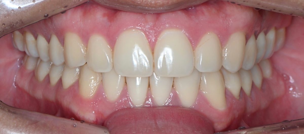
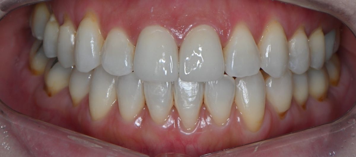
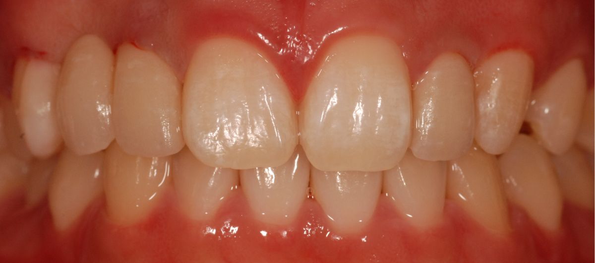
Teeth Whitening

At-home and In-office Teeth Whitening
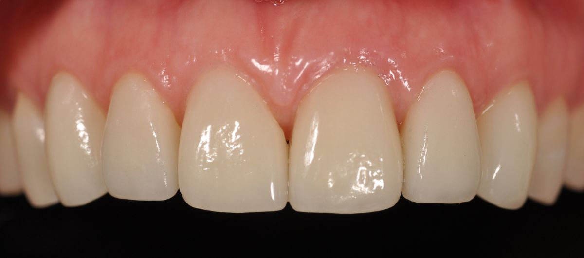
Full-mouth Crowns
Front Crowns
Front Crowns

Front Crowns
